USKOMATONTA: Vallankumouksellinen läpimurto PYSÄYTTÄÄ ikenien vetäytymisen 7 päivän sisällä käytöstä!
Esittelee tohtori Hanna Mäkinen, D.D.S., F.A.G.D., hammashoidon erikoislääkäri, jolla on yli 20 vuoden kokemus


73 % ihmisistä, joilla on vetäytyvät ikenet, kärsii jatkuvasta kivusta ja herkkyydestä... Tämä läpimurto, joka löydettiin edistyneessä parodontaalitutkimuksessa, tarjoaa luonnollisen tavan HOITAA ja vahvistaa ikeniä VÄLITTÖMÄSTI, PYSÄYTTÄÄ vetäytymisen ja EHKÄISTÄ hampaiden menetyksen sekä vakavat hammasongelmat... Tilaa Teeth Repair Gel 50 % ALENNUKSELLA + ILMAINEN toimitus niin kauan kuin varastoa riittää!
Hampaittesi ei pitäisi sattua jokaisella puraisulla tai siemauksella
Oletko huomannut, että hampaasi näyttävät pidemmiltä kuin ennen, tai ettet voi nauttia kuumasta kahvista tai kylmästä jäätelöstä ilman kivun irvistystä?
...tiedät, miten se pilaa KAIKEN.
Kärsit jatkuvasta kivusta paljastuneiden hammasjuurten vuoksi.
Et enää nauti aterioistasi.
Vältät suosikkiruokiasi, koska ne pahentavat ikeniesi tilaa.
Nämä ovat kirjaimellisesti maailman pahimpia tuntemuksia.
Ei ole olemassa mitään "normaalia" ikenien vetäytymisessä
Kun ikenet vetäytyvät ja paljastavat herkät hammasjuuret, jopa tavalliset asiat muuttuvat sietämättömiksi jatkuvan epämukavuuden vuoksi.
Oletko huomannut, että ikenesi vetäytyvät hampaistasi?
Onko sinulla ollut jomottavaa kipua kuumaa kahvia tai kylmiä juomia juodessa, koska hammasjuuret ovat paljastuneet?
Näyttävätkö hampaasi pidemmiltä kuin ennen, koska ikenesi vetäytyvät?
Etkö voi syödä tai juoda mitään kylmää, koska paljastuneet juuret lähettävät välittömästi pistävää kipua koko suuhun?
Onko hymysi kiusallinen, koska ikenien vetäytyminen on muuttanut hampaittesi ulkonäköä?
Jos vastasit "KYLLÄ" mihinkään näistä kysymyksistä, kärsit ienvetäymästä – yleisestä suu-ongelmasta, jossa ikenien kudos vähenee vähitellen ja paljastaa hammasjuuret.

Piilevä vaara ikenien vetäytymisen takana
Ikenien vetäytyminen ei ole vain esteettinen ongelma – se tekee hampaistasi alttiita reikiintymiselle, tulehduksille ja jopa hampaiden menetykselle, jos sitä ei hoideta.
Kun ikenet vetäytyvät, ikenien ja hampaiden väliin muodostuu "taskuja", joihin bakteerit kerääntyvät ja pahentavat tilannetta ajan myötä.

Vahingossa tehty löytö, joka muutti kaiken
Tutkiessaan ratkaisuja vaikeista iensairauksista kärsiville potilaille, tohtori Mäkinen läpimurtohavainnon, jota hammashoitoyritykset eivät halunneet paljastettavan.
"Hoidin potilaita, joilla ei ollut varaa kalliisiin ikensiirtoihin, jotka maksoivat yli 3 000 € per hammas," selittää tohtori Mäkinen. "Sattumalta löysin ainutlaatuisen yhdistelmän luonnollisia yhdisteitä, jotka käynnistivät jotain merkittävää – todellista ikenen uudistumista."
Kun tohtori Mäkinen esitteli löydöksensä kollegoilleen, monet olivat epäileväisiä. "He sanoivat, että ienkudos ei voi kasvaa takaisin luonnollisesti. Mutta sitten näytin heille potilaideni kliiniset kuvat. Tulokset olivat kiistattomat."
Muutamassa kuukaudessa tohtori Mäkinen kehitti kaavansa valmiiksi ja loi sen, mitä nyt kutsutaan nimellä Teeth Repair Gel – ensimmäinen ei-kirurginen ratkaisu, joka todella kääntää ikenien vetäytymisen, eikä vain hallitse oireita.
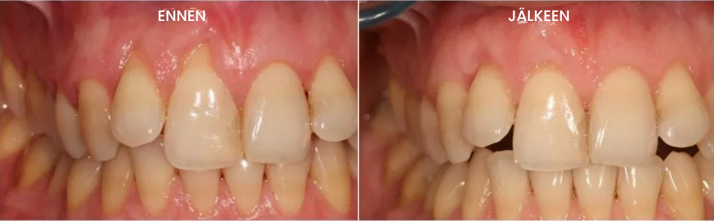
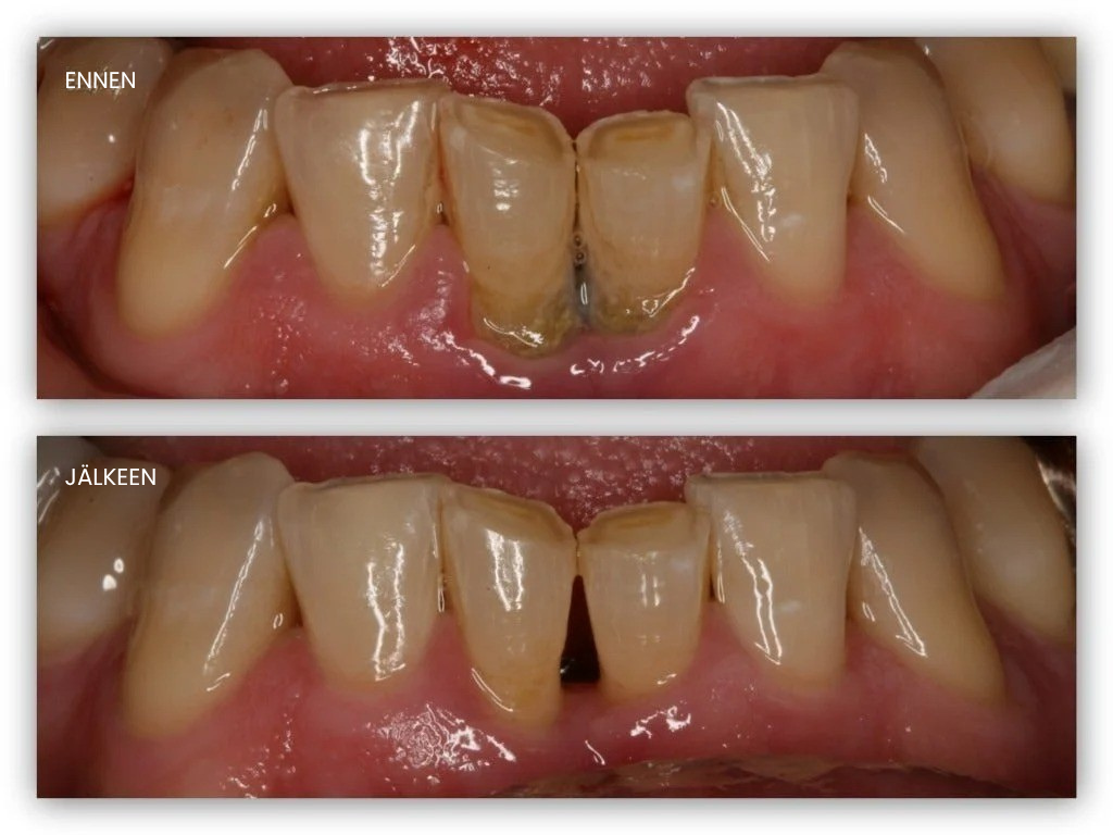
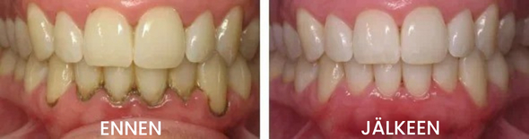
Kuinka Teeth Repair Gel PYSÄYTTÄÄ ikenien vetäytymisen
Teeth Repair Gel luo ohuen suojaavan kerroksen vetäytyvien ikenien ja paljastuneiden juurten päälle. Sen aktiiviset hiukkaset tunkeutuvat syvälle ienkudokseen, ravitsevat soluja ja antavat välttämättömiä "rakennuspalikoita" terveelle kudoksen kasvulle juuri sinne, missä vetäytyminen on tapahtunut.
Geelin aktiiviset ainesosat korvaavat vaurioituneet solut vastaavilla "rakennuspalikoilla" ja käynnistävät uuden, terveen kudoksen uudistumisen, joka peittää kivuliaat paljastuneet juuret.
Tämän ansiosta voit:
- Pysäyttää ikenien vetäytymisen missä tahansa vaiheessa – nopeasti ja tehokkaasti
- Palauttaa vetäytyneiden ikenien terveyden
- Vahvistaa hampaan ja ikenen kiinnittymistä
- Vähentää paljastuneiden juurten aiheuttamaa herkkyyttä
- Ehkäistä lisävetäytymistä, joka johtaa hampaiden menetykseen

Teeth Repair Gel todellinen voima on sen säännöllisessä käytössä.
Toisin kuin lääkkeet, joista kehosi tulee riippuvaiseksi, Teeth Repair Gel on 100 % LUONNOLLINEN ja auttaa vähitellen uudistamaan vetäytynyttä ienkudosta, suojaamaan paljastuneet juuret ja palauttamaan ientesi terveemmän aseman!
Mikä tekee Teeth Repair Gel -tuotteesta niin erityisen ikenien vetäytymisen hoidossa?
Teeth Repair Gel on luonnollinen vaihtoehto kalliille hammaslääketieteellisille hoidoille (kuten ikensiirrot, jotka maksavat yli 3 000 € per hammas, sekä ientaskujen pienennysleikkaukset) ja reseptilääkkeille.
Se auttaa palauttamaan ja vahvistamaan vetäytyneet ikenet nopeasti ja kivuttomasti, peittämään paljastuneet juuret ja poistamaan herkkyyden!
Tämä geeli on voittanut useita kansainvälisiä palkintoja, mukaan lukien Vuoden 2025 Hammasalan Innovaatiopalkinto -palkinnon, ja hammaslääkärit arvostavat sitä tehokkaana hoitona, joka PYSÄYTTÄÄ ja KÄÄNTÄÄ ikenien vetäytymisen – näkyviä tuloksia jo VIIKOSSA!
5 tähden formulaatiomme sisältää voimakkaita ainesosia, jotka on kehitetty erityisesti taistelemaan ikenien vetäytymistä vastaan. Ne tunkeutuvat syvälle ienkudoksen kerroksiin, ravitsevat soluja ja toimittavat välttämättömiä rakennuspalikoita ikenen uudistumiseen.
Jo ensimmäisen viikon jälkeen Teeth Repair Gel käytöstä ymmärrät, miksi asiakkaamme kutsuvat sitä “elämää muuttavaksi”.
Tunne vaikutus MINUUTEISSA – ei kuukausissa
✅ VÄLITÖN HELPOTUS – Jo 5–10 minuutissa tunnet merkittävää helpotusta paljastuneiden juurten aiheuttamaan herkkyyteen. Vain muutamassa päivässä huomaat, kuinka vetäytynyt ienkudos alkaa toipua ja kiinnittyä uudelleen hampaisiin. Säännöllisellä käytöllä näet, kuinka ientesi linja vähitellen palautuu terveempään asentoon ja suojaa hampaita vetäytymisen vaaroista.
✅ 100 % LÄÄKKEETÖN – Nyt voit uudistaa vetäytynyttä ienkudosta ilman kalliita siirteitä, kivuliasta toipumisaikaa ja suuria hammaslääkärikuluja. Tämän hoidon taustalla oleva tiede perustuu 100 tutkimukseen – varmistaen, että Teeth Repair Gel on erittäin tehokas juuri ikenien vetäytymisen hoidossa.
✅ TOIMII KAIKISSA SYYTILANTEISSA – Testattu, suositeltu ja käytetty satojen ikenien vetäytymiseen erikoistuneiden hammaslääkärien toimesta – riippumatta siitä, johtuiko se liiallisesta harjaamisesta, parodontiitista, perintötekijöistä, hormoneista, hampaiden narskuttelusta tai purentavirheestä. Teeth Repair Gel toimii KAIKKIIN vetäytymisen syihin.
✅ EI RESEPTIÄ TARVITA – Teeth Repair Gel sisältää ainoastaan luonnollisia ja täysin turvallisia ainesosia, jotka on valittu erityisesti ikenien vetäytymistä vastaan. Koska se on 100 % lääkkeetön, voit tilata sen heti ilman reseptiä ja aloittaa ikenien uudistamisen välittömästi.
✅ 90 PÄIVÄN RAHAT TAKAISIN -TAKUU – Jos ikeniesi tila ei parane mistä tahansa syystä, voit palauttaa tuotteen helposti – ilman kysymyksiä!
Kannattaako Teeth Repair Gel ostaa ikenien vetäytymisen hoitoon?
KOKONAISARVIO
4.9/5

Pysäyttää ja kääntää ikenien vetäytymisen
Poistaa paljastuneiden juurten aiheuttaman herkkyyden
Uudistaa vaurioituneen ienkudoksen
Ehkäisee lisävetäytymistä
EHDOTTOMASTI 100 % KYLLÄ!
Teeth Repair Gel on erityisesti hammaslääkärien suosittelema vetäytyneiden ikenien palauttamiseen, ienkudoksen uudelleenrakentamiseen ja paljastuneiden hammasjuurten suojaamiseen – riippumatta siitä, mikä vetäytymisen on aiheuttanut.
Ammattilaisnäyttelijät, laulajat ja muut julkkikset käyttävät Teeth Repair Gel -tuotetta ehkäistäkseen ja hoitaakseen ikenien vetäytymistä ilman kalliita kirurgisia toimenpiteitä.
Ja nyt MYÖS SINÄ voit hyödyntää tätä uskomatonta teknologiaa palauttaaksesi vetäytyneet ikenesi ja terveemmän ienten linjan – mukavasti kotona!
⚠️ RAJOITETTU ERÄ: Vain 23 kpl jäljellä ⚠️
Viimeisin varastoselvitys: 7 minuuttia sitten
Sinun ei tarvitse elää vetäytyvien ikenien ja paljastuneiden juurten kanssa tai käyttää tuhansia euroja hammaslääkärikäynteihin ikensiirtojen vuoksi.Oletko valmis palauttamaan vetäytyneet ikenesi ja saamaan ientesi linjan takaisin terveempään asentoon?
Nyt kun tiedät tästä nerokkaasta ratkaisusta, joka on suunniteltu erityisesti ikenien vetäytymisen hoitoon, tässä on ohjeet oman tuotteesi hankkimiseen:
Vaihe 1:
Tilaa alkuperäinen Teeth Repair Gel virallisilta verkkosivuilta napsauttamalla tästä
Vaihe 2:
Levitä päivittäin vetäytyneille ikenille ja UNOHDA, miltä ikenien vetäytyminen, paljastuneet juuret ja herkät hampaat tuntuvat!
Suositellaan:

4,9 | 9 897 Arvostelua
Teeth Repair Gel

Pysäyttää ja kääntää ikenien vetäytymisen

Poistaa paljastuneiden juurten aiheuttaman herkkyyden

Uudistaa vaurioituneen ienkudoksen

Ehkäisee lisävetäytymistä

Kommentit

Wilma Lehtonen
Uskomaton tuote!!! Kiitos tästä artikkelista, se muistuttaa minua omasta tarinastani... Tämä geeli auttoi minua myös. Se todella pelasti minut ja ikeneni 12 vuoden vetäytymisestä kärsimisen jälkeen.

Doris Järvinen
Ostin omani täyteen hintaan ja nyt siitä on 50 % alennus? Niin epäreilua! Mutta rehellisesti sanottuna olisin maksanut tuplasti – hammaslääkärini oli järkyttynyt viimeisellä tarkastuksella!

Sakari Viljanen
Kuinka kauan toimitus kestää? Hammaslääkärini haluaa tehdä siirteen ensi kuussa, ja haluaisin kokeilla tätä ensin.

Marja Tahvanainen
Sakari, minä sain omani viikossa. Peru leikkausaikasi! Tämä toimii paremmin, eikä sinun tarvitse käydä läpi kivuliasta toipumista.
Anna Braun
Olen käyttänyt tätä geeliä noin 4 viikkoa ja olen yksinkertaisesti hämmästynyt tuloksista. Kuva on paras todiste muutoksesta. Hampaani eivät enää satu jäätelön kanssa!

Emma Laine
Kahden viikon käytön jälkeen näen jo näkyviä tuloksia. Kiitos paljon! Mieheni sanoo, että hengitykseni on myös parempi – bonusvaikutus!



Aleksi Ervasti
Pääsin eroon ienvuodosta ja pahanhajuisesta hengityksestä vain 2 viikossa! Olen järkyttynyt, kuinka hyvin tämä toimii! Hammaslääkärini halusi veloittaa minulta 4 200 € hoidoista!

Eedit Honkala
Minulla kesti 10 päivää.

Terhi Johansson
Kiitos vinkistä. Olin juuri tilaamassa tätä. Jatkuva kahvinjuonti, tupakointi ja monet muut tekijät – jopa väistämättömät, kuten ikä – vaikuttavat hyvin negatiivisesti ikenien vahvuuteen... Olen kamppaillut vetäytyvien ikenien kanssa pitkään, ja olen varma, että voin voittaa ongelmani tällä kertaa!

Pauli Remes
Hei kaikille! Vaimoni osti tämän geelin ja olen yksinkertaisesti hämmästynyt tuloksesta. Hymyni ei ole koskaan ollut näin terve ja säteilevä. Käytämme nyt tätä geeliä päivittäin pitääksemme ikenet ja koko suun terveenä.

Aino Roponen
Tilasin sen ja odotan nyt pakettiani :)

Pirjo Vainio
Tämä ei ole oikeastaan mitään uutta, geeli on ollut suosittu jo pitkään. Veljeni onnistui taistelemaan vetäytyviä ikeniä vastaan nopeasti sen avulla jo vuosi sitten.

Harri Rehtonen
Ihmiset Suomessa ovat käyttäneet tätä geeliä jo 5 vuotta! Olen kuullut siitä monilta kollegoilta.

Birgitta Perälä
Hei. Olen käyttänyt tätä geeliä nyt 10 päivää... Olen yksinkertaisesti sanaton! Kiitos paljon!

Anna Tuominen
On kulunut vasta 5 päivää ja minulla on jo tuloksia! Olen erittäin tyytyväinen!

Klara Rautio
Ostin sen ja pidin siitä! Tällä hinnalla se on yksinkertaisesti lahja!

Amanda Halla
Kahden viikon käytön jälkeen näen jo näkyviä tuloksia. Kiitos paljon!



Taina Eerola
Kiitos mukavasta arvostelusta ja rehellisestä tarinasta. Olen kuullut tuttavilta ieniruiskeista, mutta ne ovat niin kivuliaita ja kalliita, että pelkään niitä... Siksi mielestäni tämä geeli kannattaa tilata heti, jotta ongelmani ratkeaa enkä joudu kärsimään enempää.

Katharina Hartikainen
Onnittelut minullekin! Pääsin eroon ienvuodosta ja pahanhajuisesta hengityksestä vain 2 viikossa! Olen järkyttynyt!



Amanda Marttinen
Olen kiitollinen tästä menetelmästä!!! Se pelasti ikeneni. Olen kokeillut monia menetelmiä, ja vain tämä geeli auttoi minua. Vain viikon käytön jälkeen näin näkyviä ja erinomaisia tuloksia. Suosittelen sitä kaikille!

Daniel Klarinen
Hei kaikille! Vaimoni osti tämän geelin ja olen yksinkertaisesti hämmästynyt tuloksesta. Hymyni ei ole koskaan ollut näin terve ja säteilevä. Käytämme nyt tätä geeliä päivittäin pitääksemme ikenet ja koko suun terveenä.



Sanna Jääskeläinen
Se oli juuri sitä mitä tarvitsin! Nyt kaikki töissä tulevat kadehtimaan minua, hehehe.

Tämän verkkosivuston lausuntoja ei ole arvioinut FDA. Tällä sivustolla myytäviä tuotteita ei ole tarkoitettu minkään sairauden diagnosointiin, hoitoon, parantamiseen tai ehkäisemiseen. Tällä verkkosivustolla tai tämän yrityksen toimesta annettu tieto ei korvaa henkilökohtaista lääkärin konsultaatiota eikä ole tarkoitettu yksilölliseksi lääketieteelliseksi neuvonnaksi...
© Helika. Kaikki oikeudet pidätetään.